U današnjem članku pišemo na temu Merkelovog karcinoma, jednog od najređih, ali i najagresivnijih oblika raka kože. Ova bolest je posebno opasna jer se razvija brzo, teško leči i često se otkriva tek u kasnijim stadijumima.
Iako retka, ona je životno ugrožavajuća i zato zaslužuje posebnu pažnju javnosti.
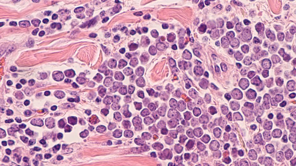
Merkelov karcinom je prvi put opisan od strane nemačkog lekara Fridriha Merkela, po kojem su ćelije i dobile ime. Ove specifične ćelije smeštene su u epidermisu, a za razliku od običnih kožnih ćelija, imaju neuroendokrinu prirodu, što znači da u sebi nose karakteristike i nervnih i hormonskih stanica. Kada se u njima dogodi oštećenje DNK, dolazi do nekontrolisanog rasta i stvaranja tumora. Za razliku od bazocelularnog ili pločastocelularnog karcinoma, Merkelov karcinom širi se znatno brže i samim tim je daleko opasniji.

- Bolest se najčešće javlja kod osoba starijih od pedeset godina, a naročito su ugroženi oni iznad sedamdesete. Promene se obično pojavljuju na delovima tela izloženim suncu – licu, vratu, ramenima i rukama. Simptom je često mala, sjajna i bezbolna kvržica crvene, ružičaste ili ljubičaste boje, koja može iznenađujuće brzo rasti. U kasnijim fazama, izraslina može da se otvori, krvari ili preraste u ranicu. Upravo ta bezbolnost na početku čini bolest još opasnijom, jer ljudi obično ne pridaju značaj promenama koje ne bole.
Kako prenosi Institut za onkologiju i radiologiju Srbije, rana dijagnostika malignih bolesti kože je presudna za uspešno lečenje, a svaka nova ili neuobičajena promena na koži treba da bude razlog za odlazak kod dermatologa. Stručnjaci posebno ističu da je biopsija najpouzdanija metoda za potvrdu dijagnoze, dok se dodatna snimanja koriste za procenu širenja bolesti. (Izvor: iors.gov.rs)
Uzroci nastanka Merkelovog karcinoma vezuju se pre svega za izlaganje UV zračenju. Dugo i neadekvatno boravljenje na suncu, kao i korišćenje solarijuma, direktno oštećuju DNK ćelija kože. Takođe, u oko 80% slučajeva, u osnovi bolesti nalazi se Merkel cell polyomavirus (MCV). Pored toga, faktori rizika uključuju svetlu put, češće opekotine od sunca, muški pol, stariju životnu dob i oslabljen imunitet. Upravo zato je ova bolest češća kod starijih muškaraca i kod onih koji imaju hronična oboljenja koja slabe imuni sistem.

- U ranoj fazi, bolest je lokalizovana i ograničena na površinski sloj kože. Međutim, već u sledećim stadijumima širi se na limfne čvorove, a u završnoj fazi i na udaljene organe poput pluća ili mozga. Lečenje obično obuhvata hirurško uklanjanje tumora, zračenje, a u određenim slučajevima i imunoterapiju ili hemoterapiju. Prognoza zavisi od stadijuma otkrivanja – što ranije, to su šanse veće.
Kako ističe Dom zdravlja „Dr Milutin Ivković“ u Beogradu, redovni preventivni pregledi kože, naročito kod starijih osoba, od suštinskog su značaja. Dermatolozi naglašavaju da nijedna promena, bez obzira na veličinu, ne treba da bude zanemarena. (Izvor: dzdravlja.rs)
Život sa ovom dijagnozom donosi i brojne izazove. Pacijenti prolaze kroz intenzivne medicinske tretmane, ali i kroz psihološke borbe. Strah od povratka bolesti i nesigurnost u budućnost često stvaraju ogroman pritisak. Zato je važno da se, pored medicinske terapije, obezbedi i emocionalna i psihološka podrška. Zdrava ishrana, fizička aktivnost prilagođena stanju pacijenta i razgovori sa stručnjacima mogu značajno poboljšati kvalitet života.
Prevencija igra ključnu ulogu u smanjenju rizika. Preporučuje se izbegavanje boravka na jakom suncu u periodu od 10 do 16 časova, nošenje zaštitne odeće, šešira i naočara, kao i redovno korišćenje krema sa visokim zaštitnim faktorom. Posebno je važno naglasiti da bi solarijume trebalo potpuno izbegavati, jer oni emituju snažno UV zračenje koje direktno oštećuje kožu.

- Kako piše Blic Zdravlje, Srbija beleži porast broja pacijenata sa malignim oboljenjima kože, a jedan od razloga jeste upravo dugotrajno i neodgovorno izlaganje suncu bez zaštite. Stručnjaci upozoravaju da bi svako ko primeti naglu promenu na koži trebalo da reaguje odmah, jer kašnjenje može biti presudno. (Izvor: blic.rs/zdravlje)
Na kraju, važno je zapamtiti da iako je Merkelov karcinom redak, on može pogoditi svakoga. Najveća opasnost je u njegovoj brzini širenja i težini lečenja, ali rana reakcija može napraviti ogromnu razliku. Pravovremena dijagnostika i odgovorno ponašanje prema sopstvenom zdravlju najbolji su saveznici u borbi protiv ove bolesti.









